Tier-Drama in Kerpen. Dort wurde dreimal auf den Kater des Kölner Rappers Eko Fresh und seiner Frau Sarah Bora geschossen.
Kölner Rapper Eko FreshSchock nach Röntgen-Aufnahmen von Familien-Kater – wer macht so was?

Copyright: privat
Eko Fresh und Ehefrau Sarah Bora mit Kater Mr. Grey
Autor
Aktualisiert
Wer macht so etwas? Wer kann so brutal zu Tieren sein? Der Kater von Rapper Eko Fresh (41) und seiner Ehefrau Sarah Bora (35) wurde Opfer einer Luftgewehr-Attacke.
Mr. Grey, so der Name des zehnjährigen Katers, war von dem Täter oder der Täterin dreimal beschossen worden.
Rapper Eko Fresh: Drei Luftgewehr-Projektile im Körper von Kater Mr. Grey
Im September 2023 brachte Sarah Bora ihren Kater zum Tierarzt. Mr. Grey hatte hohes Fieber und eine unerklärliche Wunde am Körper. „Wir dachten an einen Fuchsbiss“, so das Model zu „Bild“.
Mr. Grey musste fast ein Jahr lang immer wieder beim Tierarzt behandelt werden. Im August 2024 ertastete der Tierarzt dann einen festen Knoten und ließ ein Röntgenbild anfertigen.
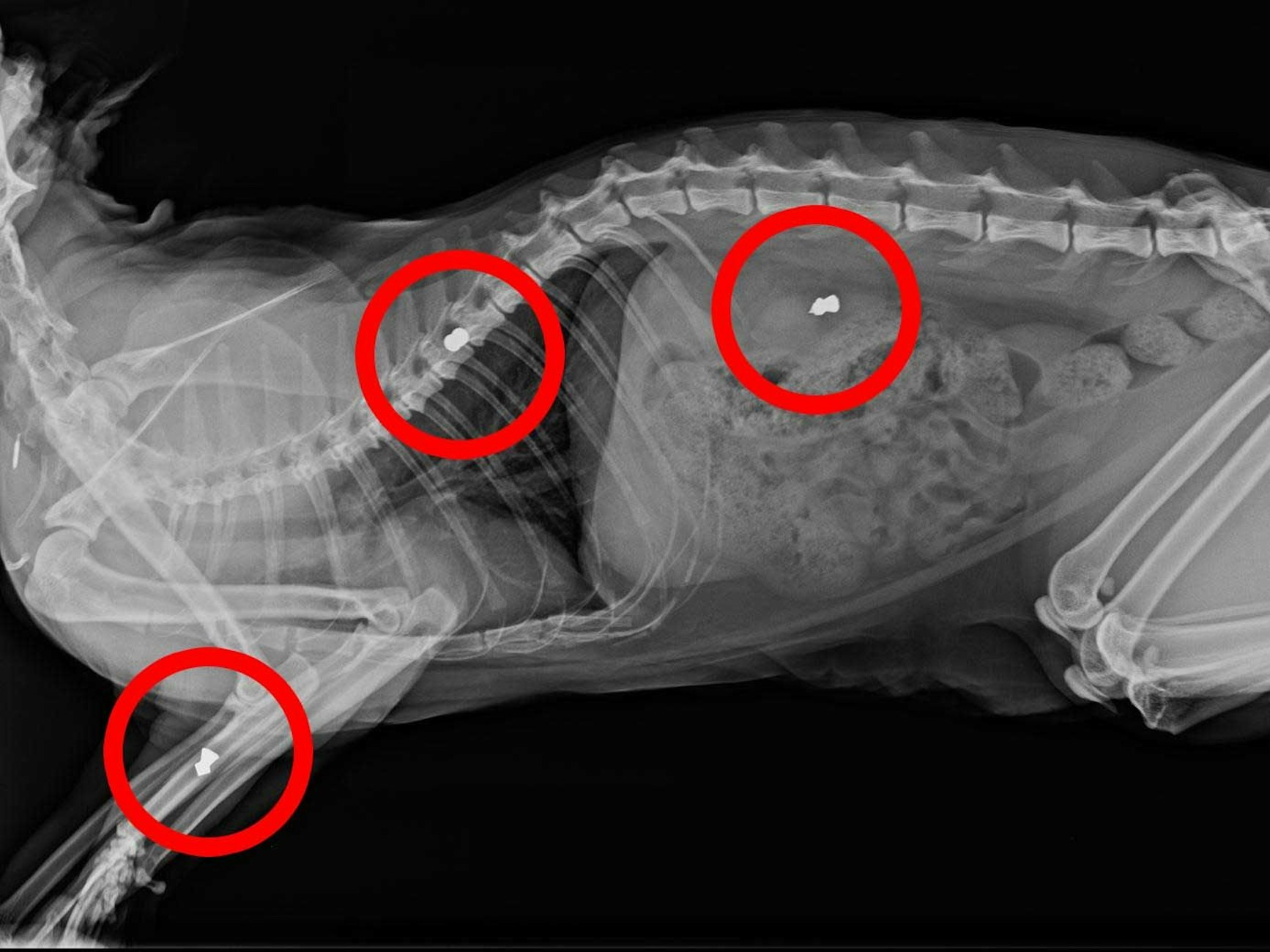
„So haben wir herausgefunden, dass dreimal auf Mr. Grey geschossen wurde. Der Knoten war ein Projektil“, erklärte der Tierarzt. Im Brustkorb, Rücken und Vorderbein stecken die Luftgewehr-Projektile. Sarah Bora stellte EXPRESS.de die Aufnahme zur Verfügung.
Das Paar wohnt mit Sohn Elijah vor den Toren Kölns in Kerpen. Dort darf sich Mr. Grey normalerweise frei in der Natur bewegen. Nach dem Angriff habe sich seine Verhalten allerdings verändert, so Bora.

Copyright: privat
Das Röntgenbild von Kater Mr. Grey zeigt die drei Luftgewehr-Projektile, die im Körper stecken.
„Er geht nicht mehr so lange raus und bleibt im Umkreis unseres Gartens. Vorher ist er maximal 400 Meter von unserem Haus entfernt gewesen. Jetzt bleibt er da, ist ängstlicher geworden und sehr, sehr anhänglich“, erzählt das Model.
Hier lesen: Rapper Eko Fresh brennt für Köln, aber eins kann er gar nicht ab
Der Vorfall sei auch der Polizei gemeldet und Anzeige erstattet worden. „Sie sagten, das sei im Gebiet Kerpen schon häufiger passiert“, ergänzt die 35-Jährige. Bisher konnte der Katzen-Hasser oder die Katzen-Hasserin nicht gefasst werden.
Weil die Geschosse bisher keine weiteren Probleme bereiten, bleiben sie nun im Körper von Mr. Grey.
Dieser Text wurde mit Unterstützung Künstlicher Intelligenz (KI) erstellt und von der Redaktion (Matthias Trzeciak) bearbeitet und geprüft. Mehr zu unseren Regeln im Umgang mit KI gibt es hier.

