Ein Klinikteam hat bei einer jungen Patientin eine ungewöhnliche Entdeckung gemacht.
So groß wie eine OrangeFrau kommt in die Notaufnahme – Klinikteam macht seltenen Vaginal-Fund

Copyright: Julian Stratenschulte/dpa/Symbolbild
Eine Frau ist mit Beschwerden in die Notaufnahme eines Krankenhauses eingeliefert worden. Dort fand das Klinikteam einen Vaginalstein in der Größe einer Orange in ihrem Körper (Symbolfoto einer Notaufnahme).
Autor
Aktualisiert
Mit Fieber, Schüttelfrost und Erbrechen stellt sich eine 27-jährige Frau in einem Krankenhaus im Libanon dem Team in der Notaufnahme vor. Dieses ahnt zu dem Zeitpunkt noch nicht, welchen Fund es im Körper der Patientin machen wird.
Nach ersten Untersuchungen können die Expertinnen und Experten einen Vaginalstein (vaginal calculus) ausfindig machen.
Klinikteam findet Vaginalstein in Größe einer Orange
Solch ein mineralischer Fremdkörper ist äußert selten. Oft werden Vaginalsteine mit den häufiger auftretenden Nieren- oder Blasensteinen verwechselt. In schlimmen Fällen kann ein Vaginalstein ein Nierenversagen auslösen.
Noch ungewöhnlicher ist jedoch die Größe des Vaginalsteins, der laut Ärztinnen und Ärzten die Größe einer Orange hatte. Der Stein entstand wohl durch die Stauung von Urin in der Vagina. Die Frau leidet an einer Muskelerkrankung und Inkontinenz, was die Bildung eines solchen Vaginalsteins begünstigt.

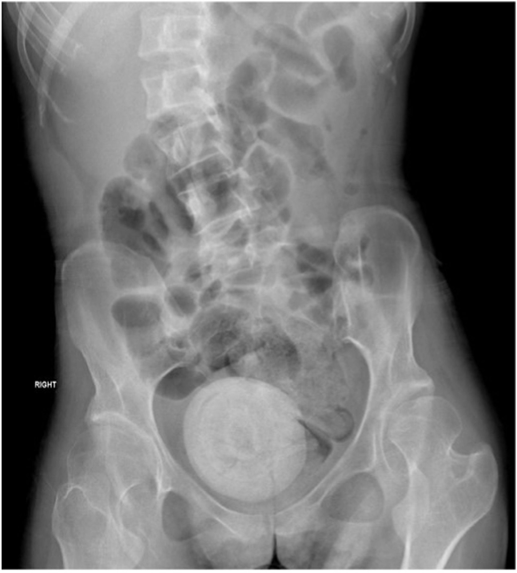
Copyright: ScienceDirect
Die Röntgenaufnahme zeigt den großen Fremdkörper im Unterleib der Patientin.
Der neun mal zehn Zentimeter große Fremdkörper wurde zunächst mit einem Laser in kleine Teile zerschossen, wie die Fachzeitschrift „Urology case reports“ berichtet. Nach sechs Wochen wurden die einzelnen Steine in einer dreistündigen Operation entfernt.
Der Stein drückte nicht nur auf die Blase der Frau, sondern schob auch ihre Gebärmutter nach oben. Ein kleiner Stein wurde ebenfalls in der Harnröhre der Patientin gefunden. Die Operation sei komplikationslos verlaufen.


