Diese Verletzung ist nichts für schwache Nerven: Ein 43-jähriger Indonesier kam mit unerträglichen Schmerzen im Penis ins Krankenhaus. Was die Ärztinnen und Ärzte darin vorfanden, macht selbst Fachleute sprachlos.
Bizarrer Sex-UnfallWas die Ärztinnen und Ärzte im Penis finden, macht sie fassungslos

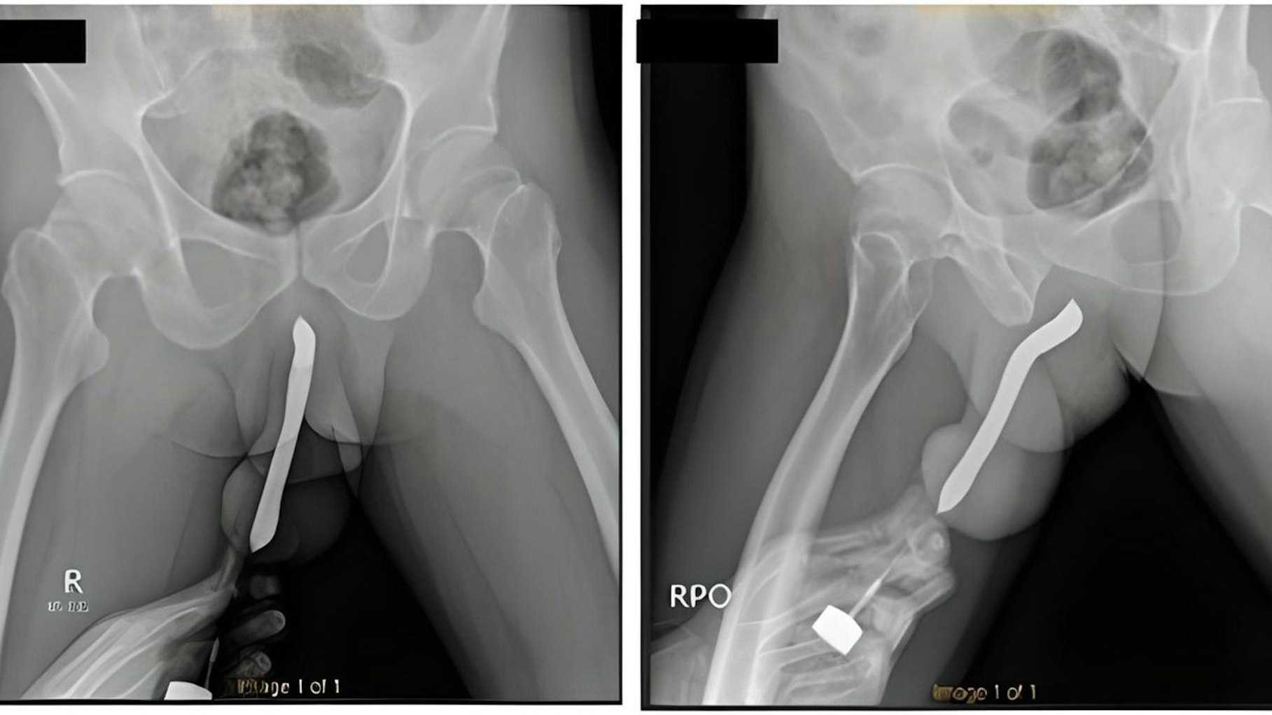
Copyright: International Journal of Surgery Case Reports/ScienceDirect
Ein 43-Jähriger aus Indonesien hatte sich für den Sex mit seiner Partnerin eine Zahnbürste in den Penis gesteckt. Die Bürste brach, es kam zur Penis-Ruptur.
Autor
Der Penis des Mannes sah aus wie eine Aubergine, verfärbte sich pink und schwoll massiv an. Die Ärztinnen und Ärzte des Soetomo General Academic Hospitals in der indonesischen Provinz Ost-Java teilten in ihrem medizinischen Bericht im International Journal of Surgery Case Reports die grausigen Einzelheiten des Vorfalls.
Dann gestand der 43-Jährige: Er habe sich zur Luststeigerung einen Gegenstand in den Penis geschoben: eine handelsübliche Zahnbürste. Doch die ist während des Sex mit seiner Partnerin gebrochen – und mit ihr auch der Penis des unglücklichen Indonesiers.
Penisbruch: Ärztinnen und Ärzte finden Zahnbürste im besten Stück
Der Mann habe unerträgliche Schmerzen gehabt, als er ins Krankenhaus kam, heißt es im Bericht. Auf die Frage, warum er denn eine Zahnbürste in den Penis gesteckt habe, erklärte der Mann, dass er das zu seiner „sexuellen Befriedigung“ gemacht habe.
Und nicht nur das: Er gestand, das schon seit vielen Jahren so zu praktizieren. 2017 habe er sogar einen „kleinen Schnitt“ am Penis vornehmen lassen, damit die Bürste besser eingeführt werden kann. Er habe nie Probleme damit gehabt, alles ließ sich ohne Schwierigkeiten entfernen.
Doch an jenem Tag ist diese Praxis ganz offensichtlich schiefgegangen: Beim Sex mit seiner Partnerin in der Missionarsstellung sei die Zahnbürste gebrochen – und der Penis wurde verletzt. Der hatte eine „Auberginenform“ – ein verräterisches Zeichen für einen sogenannten Penisbruch.
Indonesien: Mann wartete 12 Stunden, bis er ins Krankenhaus ging
Ein weiteres Problem: Aus Scham wartete der Mann etwa 12 Stunden lang, bis er einen Arzt oder eine Ärztin aufsuchte. Die haben dann die Zahnbürste in einer zweistündigen Operation und entfernt und den Penis „repariert“.
Obwohl der Penis kein Knochen ist, kann er durchaus brechen, wenn das Glied einer größeren stumpfen Kraft ausgesetzt wird. Dabei reißt der Schwellkörper oder der sie umgebenden Membran ein, der Tunica albuginea. In vielen Fällen ist ein Knacken oder Knallen zu hören. Im Fachjargon wird der „Penisbruch“ Penisruptur und -fraktur genannt.
Für den Indonesier ging das prekäre Sex-Abenteuer allerdings gut: Drei Tage nach der OP konnte er entlassen werden, hat keine Komplikationen mehr. Auch die Auberginenform sei verschwunden, heißt es im Bericht. Bleibt nur zur hoffen, dass er sich beim nächsten Liebesspiel die Zahnbürste besser zum Zähneputzen benutzt.

