Der Zoll stoppt einen Mann (38) in Fernbus – und macht einen krassen Fund in seinem Bauch.
Krasser Fund im BauchKölner Zoll fasst Mann (38) in Bus

Copyright: Hauptzollamt Köln, übermittelt durch news aktuell
Kölner Zoll stellt Kokain bei einem Körperschmuggler sicher.
Aktualisiert
Zöllnerinnen und Zöllner haben am 4. November am Fernbusbahnhof des Flughafens Köln/Bonn einen 38-jährigen Mann aus den Niederlanden aus einem Reisebus gezogen.
Er hatte mehr als 100 Gramm Kokain in seinem Körper geschmuggelt.
Bei der Kontrolle eines Busses auf dem Weg von Den Haag nach Frankfurt am Main fiel der 38-Jährige den Beamtinnen und Beamten auf.
Er machte widersprüchliche Angaben zu seiner Reise, wirkte nervös und hatte kaum Gepäck dabei. Ein Drogenwischtest an seinen Händen schlug auf Kokain an.
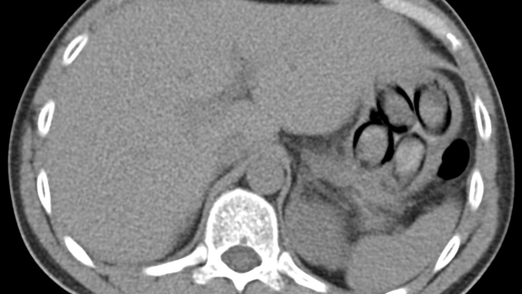
Röntgenbild bestätigt schrecklichen Verdacht
„Die Röntgenaufnahme in einem nahegelegenen Krankenhaus bestätigte letztendlich den Verdacht meiner Kolleginnen und Kollegen, denn im Magen des Mannes waren mehrere Drogenpäckchen klar zu erkennen. Insgesamt schied der Mann dann unter Überwachung sieben sogenannte Bodypacks mit insgesamt mehr als 100 Gramm Kokain aus“, berichtet Jens Ahland, Pressesprecher des Hauptzollamts Köln.
Der Kölner Zoll hat in diesem Jahr bereits mehrere Körperschmugglerinnen und Körperschmuggler erwischt. Anfang des Jahres wurde bei einem 50-jährigen Italiener rund 1,3 Kilogramm Kokain im Körper gefunden. Vor einigen Monaten schmuggelten eine Mutter und ihre Tochter fast 140 Gramm Heroin.
Ahland warnt eindringlich vor der lebensgefährlichen Schmuggelmethode: „Vollkommen egal, ob mehr als ein Kilo oder wenige Gramm, jede Art von Körperschmuggel ist extrem gefährlich. Wenn nur ein Päckchen im Körper aufgeht, ist das Leben des Schmugglers nicht mehr zu retten, selbst wenn ein Arzt direkt danebensteht.“ Das Zollfahndungsamt Essen hat die weiteren Ermittlungen übernommen. (red)
